組織/細胞レベルでの領域特異的な解析により、
生物学的作用の機序解明やターゲット/バイオマーカー探索研究の課題解決を可能にします
Laser Microdissection法(LMD)とは、凍結切片やFFPE(ホルマリン固定パラフィン包埋)切片を専用スライドに載せ、顕微鏡で組織の観察を行いながら解析領域を採取する技術です。網羅的な遺伝子・タンパク質発現解析と組み合わせることで、目的の領域に特異的な現象を捉えることが可能になります。Axceleadでは、病理やオミクス研究の知識技術・経験を活かした統合的なサービスをご提供しております。
- 病変部位、特定構造やその比較対象を、解析領域として適切に見極めて採取することで、従来アプローチできなかった創薬ターゲットやバイオマーカーの探索/検証が可能となります。
- 病理組織像や作用機序に基づいて領域を設定することで、解像度を上げた薬効作用、毒性発現機序検証を実施することができます。
- ドラッグリポジショニングを目的に、お客様が保管されているFFPEブロックを再解析してターゲット探索/同定を実施することが可能です。
- 複合的なサービスとして、シングルセル/核-RNAseqなど周辺技術を用いた解析や薬効薬理試験との同時実施の形でご提供することも可能です。
シングルセル遺伝子発現解析
シングル核遺伝子発現解析
様々なサンプルに対応可能!
- Axceleadでは腎臓、膵臓、肝臓、眼球、卵巣、精巣、大動脈、癌組織やスフェロイドなど、様々な臓器/組織を扱った実績がございます。また、従来RNA断片化などの悪影響が懸念されてきたFFPEブロックについても、良好な結果が得られております。
- 事前検討として、解析に用いる組織の病理組織評価やRNAの質・量の確認を行い、サンプルの選別を実施することが可能です。例えば、臨床検体を用いてLMDからトランスクリプトーム解析を行う場合には、ブロックに含まれる組織成分とRNAの質・量が不均一であることが解析を妨げる原因になります。事前検討を実施しその結果を活かすことで、お客様の課題が解決できる可能性が高まります。

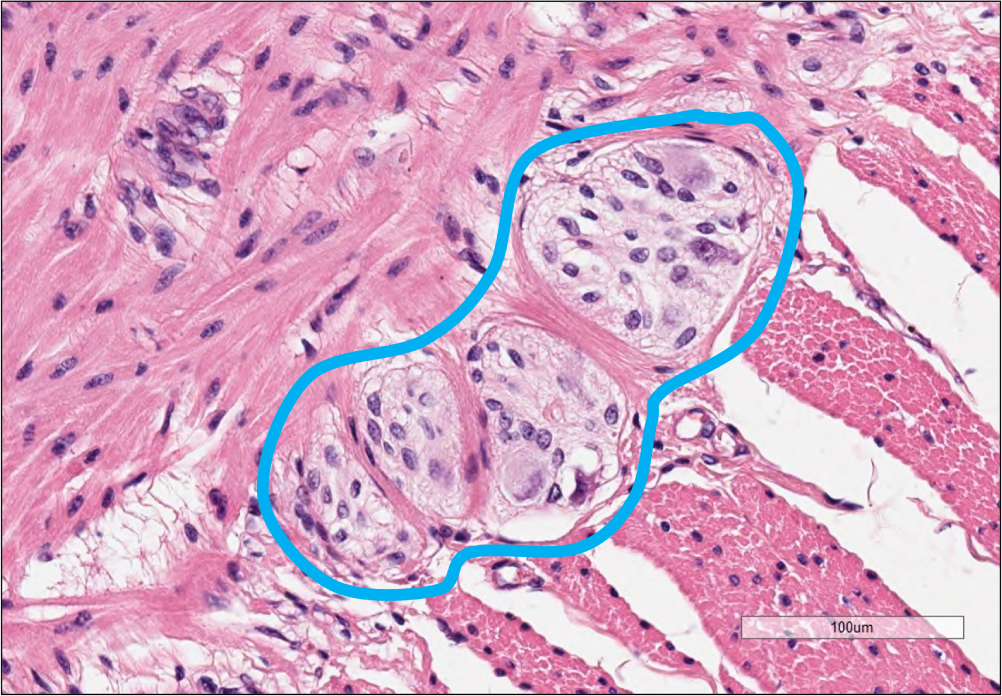
臨床検体で腸神経叢組織に着目した解析例。FFPEブロックを用いた解析例になります。

目的組織を含まない領域のブロックをトリミング除去して切片を作製することで、1枚のLMDスライドに載せる切片枚数を多くし、採取組織量を効率的に増加させることができます。
お客様の目的に合わせた適切な領域設定をご提案!
- 病理組織学的な観点からの病変/非病変部位の切り分けや、マーカー分子を利用した多重免疫染色による領域分類をご提案した実績がございます。お客様の目的に合わせた解析領域の設定をご提案させて頂きます。

多重免疫染色の一例。マーカー分子を赤色蛍光(細胞質)と緑色蛍光(核)に染め分けることで、発現分子による領域分類が可能になりました。
遺伝子発現解析だけでなくタンパク質発現解析も可能!
- AxceleadではLMDとプロテオーム解析を組み合わせた課題解決の実績がございます。これまで解析が困難であるとされていた微量組織やFFPEでも対応可能なプロテオーム解析技術とセットでのサービスとしてもご利用下さい。
プロテオーム解析技術
豊富な経験を持つ創薬研究者があらゆる場面をトータルサポート!
- フレキシブルに手厚くサポート
研究計画作成段階から終了後のご相談まで、お客様と密に連携を取りながら、経験豊富な研究者がサポートさせて頂きます(毒性病理・獣医病理専門家、バイオインフォマティクス、プロテオーム専門研究者など)。 - 多面的にサポート
複合的なサービスとして、In Situ HybridizationやImmunohistochemistry、シングルセル/核-RNAseq、空間的トランスクリプトミクスなど、周辺技術を用いた解析との組み合わせや薬効薬理試験との同時実施をご提案することも可能です。
